Category Archives: Uncategorized
MEDEST Review 30. One year in Review.
MEDEST DISCLOSURE: MEDEST strongly encourage AWARNESS reading the propoused articles. Abstracts are often misleading and articles potentially biased. Even this selection is not immune from potential bias (just human factors not commercial interests). So download the full text and read it carefully to have a clear and complete opinion of the relatedContinue reading “MEDEST Review 30. One year in Review.”
REGISTER FOR SMACC 2015 NOW! CHICAGO AWAITS!
DIY to Stop the Blood
Originally posted on The Collective:
This thing comes from Dr Andrew Weatherall, paediatric anaesthetist and prehospital doc. He also blogs over at http://www.theflyingphd.wordpress.com ? I don’t do DIY. This is partly because in the same way I wouldn’t expect a carpenter to have a crack at fixing their kids’ bones in preference to seeing an…
SMACC Chicago Cup song by Dr Ken Milne & Eve Purdy
The “3 SIMPLE Rules”: an easy and accurate tool for recognizing VT
MEDEST Following the discussion on ectopy and aberrancy (view Ectopy or aberrancy? Google Ecg+ community comments on a clinical case.) Ken Grauer, EKG master and author of many EKG books, gave us the permission to share his “3 SIMPLE Rules” to recognize VT in a simple ad accurate way. Rule #1 Is there extremeContinue reading “The “3 SIMPLE Rules”: an easy and accurate tool for recognizing VT”
The Bind When It Comes to a Binder (Part 3)
Originally posted on The Collective:
There’s been a lot of stimulating discussion after parts 1 and 2 of this series from Dr Alan Garner (you can check those here and here). Here’s part 3. Thanks for sticking with the discussion so far. In part 2 we had a look at AP compression injuries and lateral compression…
Fluid resuscitation in bleeding trauma patient: are you aware of wich is the right fluid and the right strategy?
MEDEST The fluids of choice in prehospital field are, in most cases, cristalloids (Norma Saline or Lactate Ringer). But what is the physiological impact of saline solutions when administered in large amounts (as the latest ATLS guidelines indicates) to hypotensive trauma patients? Is aggressive Fluid resuscitation the right strategy to be pursued? The triad ofContinue reading “Fluid resuscitation in bleeding trauma patient: are you aware of wich is the right fluid and the right strategy?”
Scary Little Creatures
Originally posted on The Collective:
Dr Andrew Weatherall does prehospital doctor stuff but spends lots of time serving the somnolent god of anaesthesia in a tertiary paediatric hospital. He has particular interests in cardiac, thoracic, trauma and liver transplant anaesthesia and is trying to be a PhD student in his spare time. You can also find…
Bougie aided video assisted intubation through King Laryngeal Tube
MEDEST If you have a patient with a King LT in place and want to intubate him use the Bougie and the videolaryngoscope. It works perfectly. Here is the video tutorial. View original post
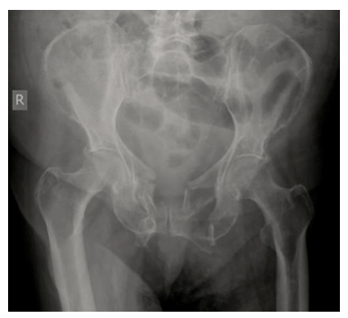
The Bind About Pelvic Binders (Part 2)
Originally posted on The Collective:
This is part 2 in Dr Alan Garner’s series on pelvic fractures and the approach to binders. You can find part 1 here. In part one we had a look at the evidence for benefit from pelvic binders. In short there is no study yet published showing a significant improvement…
The Bind When it Comes to Using a Binder
Originally posted on The Collective:
This post by Dr Alan Garner is the first of a trio on the topic of pelvic fractures and the evidence for what to do. Alan is an emergency physician at Nepean Hospital in Sydney and the Medical Director of CareFlight, having started in prehospital medicine in 1996. He has…
Mechanical CPR: Three CHEERS or a big thumbs down?
Originally posted on AmboFOAM:
There has been a fair bit about mechanical CPR devices floating around the FOAMasphere lately, so I thought I should probably do a post. These devices are not exactly new (check out the Thumper, in use in Victoria in the 70s) However, there seems to be a surge in interest in these…
Auckland HEMS Checklist Reference Manual
Originally posted on Auckland HEMS:
Dear colleagues, In June of this year our Canadian HEMS Fellow Dr. Robert Gooch shared one of our emergency checklists with the Prehospital and Retrieval Medicine (PHARM) community. Thank you to those of you who provided feedback on this initiative. We continue to draw inspiration from the work of Dr.…
Why the VideoLarygoscopy don’t gonna kill the DirectLaryngoscopy (at least in the near future)
MEDEST A novel publication goes to enrich the long-living debate on direct laryngoscopy (DL) vs video laryngoscopy (VL) efficacy in emergency intubation. The recent article, pubblished on JEMS and titled “Deploying the Video Laryngoscope into a Ground EMS System” ,compares the success rate beetwen DL vs VL in a ground EMS Service. The device used wasContinue reading “Why the VideoLarygoscopy don’t gonna kill the DirectLaryngoscopy (at least in the near future)”
